Choroidal Melanoma
What is a choroidal melanoma?
A choroidal melanoma is a cancer that forms when malignant (cancerous) tumor cells grow inside the eye in the tissue layer called the choroid. This layer of tissue lies beneath the retina and lines the inside of the back portion of the eye. The choroid is the most common location for a melanoma inside the eye, but melanomas can also form inside the eye in other areas, such as the iris and ciliary body. Choroidal melanomas are rare. Estimates suggest that somewhere between 4 and 6 people out of every million get a choroidal melanoma each year in the United States.

A choroidal melanoma often appears as a dome-shaped dark tumor under the retina.
Learn more about choroidal melanoma and other intraocular melanomas at ASRS
Is a choroidal melanoma dangerous?
Like all cancers, choroidal melanoma is a serious condition. The tumor can cause loss of vision in the eye and if it spreads outside the eye (metastasizes), it can cause serious health problems and even result in death. If a choroidal melanoma is diagnosed early, the chance of survival with appropriate treatment is excellent.
Do choroidal melanomas grow very quickly?
Choroidal melanomas tend to be very slow-growing, but because they often do not cause symptoms or visual changes when they are small, many are not recognized until they grow to larger sizes.
How is a choroidal melanoma diagnosed?
Most choroidal melanomas are diagnosed by a careful eye examination with the pupils dilated. Additional tests are often used to support the diagnosis, including special photographs of the eye, fluorescein angiography, and ocular ultrasound1,2. In almost all cases, a biopsy is unnecessary to make the correct diagnosis.

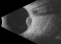
This ultrasound image shows a choroidal melanoma inside the eye as a round grey bump next to the shadow of the optic nerve.
How can a melanoma be treated?
Once the diagnosis of a choroidal melanoma has been made, your doctor will order tests to check if there are signs that it has spread outside the eye to the eye socket or to other parts of the body, such as the liver or lungs. If the only detected site of cancer is the eye, then treatment will be recommended to control the tumor in the eye. There are many treatment options for choroidal melanoma, and standard treatments include surgery to remove the tumor or eye, radiation, or different forms of laser therapy3. Your doctor will discuss your treatment options and recommend one based upon the specific features of your tumor.
How can I learn more about choroidal melanoma?
There are many resources to learn more about choroidal melanoma. One trusted source of information is the National Cancer Institute, which has patient information on intraocular (Eye) melanoma (to go to this site, click here). Of course, your doctor will be your primary resource and help you interpret the information you gather from other sources.
References
- Medina CA, Plesec T, Singh AD. Optical coherence tomography imaging of ocular and periocular tumours. Br J Ophthalmol. 2014 Jul;98 Suppl 2(Suppl 2):ii40-6. pubmed.ncbi.nlm.nih.gov/24599420
- Shah AR. Widefield Imaging Finds Its Place in the Practice. Retina Specialist. November 2015; Accessed January 2022: retina-specialist.com/article/widefield-imaging-finds-its-place-in-the--practice
- Houston SK, Wykoff CC, Berrocal AM, Hess DJ, Murray TG. Lasers for the treatment of intraocular tumors. Lasers Med Sci. 2013 May;28(3):1025-34. pubmed.ncbi.nlm.nih.gov/22302638
Schedule Choroidal Melanoma Treatment in Northern California with Retinal Consultants Medical Group
Since 1975, Retinal Consultants Medical Group has been providing outstanding care to patients throughout Northern California, including Sacramento, Modesto, and Stockton. Our retina specialists and surgeons treat multiple vitreoretinal conditions, such as age-related macular degeneration and diabetic retinopathy. We invite you to contact us with any questions or schedule an appointment today.
